Quick order

English

CN

Every leap in life sciences bears your dedication

Lamarck, rooted deeply in biotechnology's essence, advances the future of health with you.

Relevant records

Clear the record

Search suggestions

Explore Our
Recommended
Popular Products

More products

Featured products

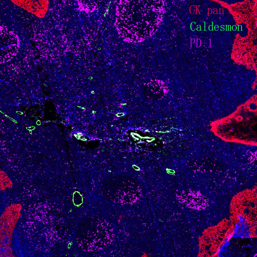
mIHC/ Multiplex Fluorescence Detection Kit

Independent of primary antibody species, enabling accurate, efficient multiplex labeling of multiple target proteins in cell/tissue samples.
More Details
Core advantage
Upgraded Detection<br>Capability
Upgraded Detection
Capability

Independent of primary antibody species, supporting multiplex labeling with flexible adaptation.

Superior Detection<br> Performance
Superior Detection
Performance

Amplified detection signal, featuring high specificity, high sensitivity and clear background.

Optimized Experimental<br> Workflow
Optimized Experimental
Workflow

Ultra-simple operation and significantly enhanced efficiency.

Services & Support

Comprehensive empowerment for life science research

Deep domain expertise, one-stop bioscience services – accelerating your breakthroughs.
Domain Research

Our antibodies cover diverse cutting-edge fields, from basic biology and molecular biology to oncology research, immunology research, and neuroscience research.

Learn more
Custom Antibody Development

With expert team support, our custom antibody development delivers tailored specific antibodies to speed up research outcome translation.

Learn more
Technical Services

Precise enablement for more reliable experimental data and enhanced research efficiency.

Learn more

Featured products

Pathological-Grade Antibodies for IHC

High-quality antibodies developed in line with clinical pathological diagnosis requirements.
More Details
Core advantage
01
Precision R&D

From immunogen design and hybridoma cell line screening to antibody validation, all prioritize IHC requirements.

02
Pathological Grade

A full-dimensional validation system established to clinical testing standards.

03
Benchmarked against international standards

Parallel validation with international brand antibodies.

04
Professional team support

Guidance from top international monoclonal antibody experts throughout.

Empowering scientific research

Honoring your perseverance remarkable achievements in scientific research

On the path of exploring scientific truth, your rigor, dedication and achievements serve
to uncover life’s mysteries and expand human cognition.
Honoring your perseverance remarkable achievements in scientific research

Publication Reward Program and Support

Lamarck upholds "Empowering scientific innovation with quality products", offering high-performance tools and full technical support to aid your research breakthroughs.

To honor your dedication to science, we launch support like the Publication Reward Program, standing with you to see research’s boundless potential.

More Details

Customer Sharing

Converge for Dissemination

Share nuances of scientific inquiry, and unite in the pursuit of veracity.
Experimental Sharing
Experimental Sharing

Experimental Sharing

More Details
Product Reputation
Product Reputation

Product Reputation

More Details
Scientific Research Anecdotes
Scientific Research Anecdotes

Scientific Research Anecdotes

More Details
Field Frontiers
Field Frontiers

Field Frontiers

More Details
Industry Insights
Industry Insights

Industry Insights

More Details
Career Directions
Career Directions

Career Directions

More Details